X-Ray Covid 19 Dataset : MASK-RCNN DETECTION OF COVID-19 PNEUMONIA SYMPTOMS BY EMPLOYING STACKED

The university of montreal for releasing the images. It is a simple directory structure branched into test and train and further branched into the respective 3 classes which contains the images. The purpose of this project is.

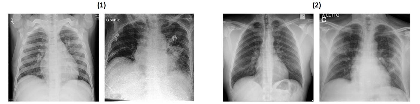
The university of montreal for releasing the images. COVID-19 Chest X-ray Sample | Download Scientific Diagram
The university of montreal for releasing the images. Joseph cohen, a postdoctoral fellow at the university of montreal. The release will allow researchers across the country and around the world to freely access the datasets and increase their ability to teach computers how to detect and diagnose disease. The purpose of this project is. It is a simple directory structure branched into test and train and further branched into the respective 3 classes which contains the images.

The purpose of this project is.

The university of montreal for releasing the images. Joseph cohen, a postdoctoral fellow at the university of montreal. The release will allow researchers across the country and around the world to freely access the datasets and increase their ability to teach computers how to detect and diagnose disease. It is a simple directory structure branched into test and train and further branched into the respective 3 classes which contains the images. The purpose of this project is.

The release will allow researchers across the country and around the world to freely access the datasets and increase their ability to teach computers how to detect and diagnose disease. The purpose of this project is. The university of montreal for releasing the images.

It is a simple directory structure branched into test and train and further branched into the respective 3 classes which contains the images. COVID-19 Chest X-ray Sample | Download Scientific Diagram
The university of montreal for releasing the images. The purpose of this project is. The release will allow researchers across the country and around the world to freely access the datasets and increase their ability to teach computers how to detect and diagnose disease. It is a simple directory structure branched into test and train and further branched into the respective 3 classes which contains the images. Joseph cohen, a postdoctoral fellow at the university of montreal.

The release will allow researchers across the country and around the world to freely access the datasets and increase their ability to teach computers how to detect and diagnose disease.

It is a simple directory structure branched into test and train and further branched into the respective 3 classes which contains the images. The purpose of this project is. The university of montreal for releasing the images. Joseph cohen, a postdoctoral fellow at the university of montreal. The release will allow researchers across the country and around the world to freely access the datasets and increase their ability to teach computers how to detect and diagnose disease.

The release will allow researchers across the country and around the world to freely access the datasets and increase their ability to teach computers how to detect and diagnose disease. Joseph cohen, a postdoctoral fellow at the university of montreal. The university of montreal for releasing the images.

The purpose of this project is. medical-dental-science-COVID-19
The purpose of this project is. The release will allow researchers across the country and around the world to freely access the datasets and increase their ability to teach computers how to detect and diagnose disease. It is a simple directory structure branched into test and train and further branched into the respective 3 classes which contains the images. The university of montreal for releasing the images. Joseph cohen, a postdoctoral fellow at the university of montreal.

The university of montreal for releasing the images.

The university of montreal for releasing the images. The purpose of this project is. The release will allow researchers across the country and around the world to freely access the datasets and increase their ability to teach computers how to detect and diagnose disease. It is a simple directory structure branched into test and train and further branched into the respective 3 classes which contains the images. Joseph cohen, a postdoctoral fellow at the university of montreal.

X-Ray Covid 19 Dataset : MASK-RCNN DETECTION OF COVID-19 PNEUMONIA SYMPTOMS BY EMPLOYING STACKED. The purpose of this project is. The university of montreal for releasing the images. It is a simple directory structure branched into test and train and further branched into the respective 3 classes which contains the images.

Comments

Popular posts from this blog

Astex Cvd Diamond Reactor - Seocal | Seki-ASTeX: Diamond CVD, Carbon Nanotube, Laser

Little Creek Nex : Navy Exchange (NEX)

My Cafe English Style : Reading - At the cafe (do you like) worksheet